• Clínica de Odontologia Digital em São Paulo - Clínica Aggio
SPA Odontológico em São Paulo - Clínica Aggio

Tratamentos e Exames

Tudo o que você precisa em um só lugar

O SPA Odontológico da Clínica Aggio oferece um atendimento acolhedor e cuidadoso, ideal para quem deseja cuidar da saúde bucal com tranquilidade. Com uma equipe integrada de especialistas, o SPA Odontológico proporciona tratamentos odontológicos relaxantes e altamente qualificados, focados tanto na estética quanto no bem-estar.

Diferenciais do SPA Odontológico:

  • Equipe Integrada: Especialistas em diversas áreas, garantindo atendimento completo e coordenado.
  • Acolhimento para Pacientes com Medo de Dentista: Ambiente calmo e profissionais treinados para proporcionar conforto extra.
  • Tecnologia Avançada: Equipamentos modernos que priorizam conforto e precisão.
  • Atenção Personalizada: Tratamentos adaptados às necessidades específicas de cada paciente.

Experimente a tranquilidade e o cuidado do SPA Odontológico da Clínica Aggio! Agende sua consulta e descubra uma nova forma de cuidar do seu sorriso.


Clínica de Odontologia Digital em São Paulo - Clínica Aggio

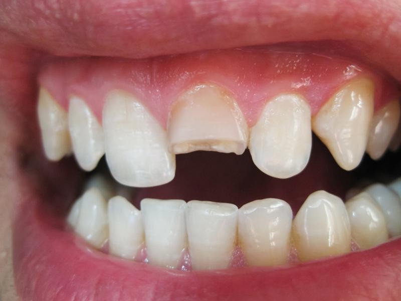
Inovação em Odontologia: Prótese em Sessão Única na Clínica Aggio

Utilizando tecnologia avançada de escaneamento 3D, garantimos um ajuste perfeito e uma estética natural. Na Clínica Aggio, priorizamos a individualidade de cada paciente, proporcionando resultados personalizados. A rapidez do processo, aliada à precisão e qualidade dos materiais, redefine os padrões de cuidados odontológicos.

Ao escolher a Prótese em Sessão Única na Clínica Aggio, você opta pela excelência, praticidade e um sorriso renovado. Estamos comprometidos em oferecer uma experiência única, unindo inovação, eficácia e satisfação do paciente. Agende sua consulta e descubra o futuro dos cuidados odontológicos.

Entre em contato
Clínica de Odontologia Digital em São Paulo - Clínica Aggio

Tratamentos Odontológicos

Nossa Clínica de Odontologia Digital em São Paulo, localizada em Moema, oferece uma variedade de tratamentos odontológicos modernos, como clareamento dental, implantes dentários e ortodontia com alinhadores invisíveis. Com tecnologia avançada, a Clínica Aggio - Clínica de Odontologia Digital em São Paulo proporciona diagnósticos precisos e resultados rápidos, sempre priorizando o conforto e a satisfação dos pacientes. Se você busca um atendimento personalizado e soluções eficazes para sua saúde bucal, agende uma avaliação na nossa clínica de odontologia digital em São Paulo.

Clínica de Odontologia Digital em São Paulo - Clínica Aggio

Exames Odontológicos

A Clínica Aggio - Clínica de Odontologia Digital em São Paulo, localizada em Moema, oferece exames odontológicos completos e precisos, utilizando as mais avançadas tecnologias digitais. Realizamos exames como radiografias digitais, tomografias e entre outros exames, que garantem diagnósticos detalhados e seguros para a saúde bucal dos nossos pacientes. Com foco na prevenção e no tratamento eficaz, a Clínica Aggio - Clínica de Odontologia Digital em São Paulo proporciona uma visão clara e abrangente de cada caso, assegurando que você receba o melhor acompanhamento possível. Se você procura exames odontológicos de qualidade e com rapidez, entre em contato com a nossa Clínica de Odontologia Digital em São Paulo e agende sua avaliação agora mesmo.

Clínica de Odontologia Digital em São Paulo - Clínica Aggio
Clínica de Odontologia Digital em São Paulo - Clínica Aggio

Mentoria Odontológica - Saiba como usar Fluxo Digital para otimizar tempo e faturamento

Saiba mais sobre as inovações tecnológicas que estão transformando a prática odontológica. Prepare-se para descobrir como a Odontologia Digital está revolucionando a precisão e eficiência dos procedimentos, proporcionando resultados incríveis para os pacientes. Vamos embarcar nessa jornada tecnológica juntos!

Na Clínica Aggio - Clínica de Odontologia Digital em São Paulo, oferecemos um serviço exclusivo de mentoria odontológica para profissionais que desejam aprimorar suas habilidades e se atualizar com as mais recentes inovações da odontologia digital. Com a expertise da nossa equipe, nossa Clínica de Odontologia Digital em São Paulo auxilia dentistas em seu desenvolvimento profissional, oferecendo orientação prática e teórica para aplicar novas tecnologias e técnicas no dia a dia do consultório. Seja você um recém-formado ou um profissional experiente, nossa mentoria proporciona uma experiência completa e personalizada. Entre em contato com a Clínica Aggio - Clínica de Odontologia Digital em São Paulo e descubra como podemos ajudar a impulsionar sua carreira odontológica.


Saiba Mais
Clínica Aggio - Clínica Odontológica Digital em São Paulo

Oferecemos qualidade excepcional, sofisticação e atendimento personalizado, com agendamentos rápidos e eficientes.

A Clínica Aggio - Clínica de Odontologia Digital em São Paulo é mais que uma clínica. Trata-se de um conceito único de Odontologia Moderna e Humanizada. Fundada há 30 anos pela Dra. Daniela Aggio, palestrante internacional, mentora, cirurgiã-dentista e empresária, que mantém o propósito de transformar a experiência do paciente por meio da tecnologia e acolhimento.

Possui uma equipe de profissionais diferenciados que possibilita o atendimento integral. Com todas as especialidades odontológicas, tecnologia e equipe de apoio, apresenta infraestrutura diferenciada no bairro de Moema, São Paulo. Venha conhecer a Clínica Aggio - Clínica de Odontologia Digital em São Paulo!


Saiba Mais
Destaque 1

Especialidades Odontológicas em um único local.

Destaque 2

Clínica Integrada Digital com Tecnologia Cerec.

Destaque 3

Rx panorâmico/Tomógrafo para exames de imagem.

Destaque 4

SPA DAY integrado, preparado especialmente para você.

Na mídia

Clínica Aggio implementa tecnologia CAD/CAM no Brasil.

A Clínica Aggio - Clínica de Odontologia Digital em São Paulo está trazendo para o Brasil a tecnologia CAD/CAM, que revoluciona a odontologia moderna ao permitir a realização de tratamentos como coroas e próteses no mesmo dia. Essa inovação faz parte da Odontologia 4.0, integrando processos digitais avançados para melhorar a precisão e eficiência dos procedimentos, além de reduzir o desconforto dos pacientes. Com a tecnologia CAD/CAM, a clínica não apenas acelera o tratamento, mas também oferece um serviço de alta qualidade e personalização, destacando-se na área odontológica.

Para mais detalhes, acesse a notícia completa aqui.

Clínica de Odontologia Digital em São Paulo - Clínica Aggio

Blog da Odontologia

A Clínica Aggio - Clínica de Odontologia Digital em São Paulo oferece o Blog da Odontologia, um espaço dedicado a compartilhar informações atualizadas sobre tratamentos, tecnologias e dicas de cuidados com a saúde bucal. Nossa equipe de especialistas escreve conteúdos ricos e educativos, para que você se mantenha bem informado sobre as principais tendências da odontologia moderna. No Blog da Odontologia da Clínica de Odontologia Digital em São Paulo, você encontra desde orientações sobre prevenção até inovações tecnológicas que transformam os tratamentos odontológicos. Acesse agora e fique por dentro de todas as novidades que a Clínica Aggio - Clínica de Odontologia Digital em São Paulo tem a oferecer!

© Copyright 2025. DIVIA Marketing Digital. Todos os Direitos Reservados

Agência de Marketing Digital
Clique para Ligar
Fale por WhatsApp
Ligue e Agende
Agende pelo WhatsApp

Utilizamos cookies essenciais e tecnologias para oferecer melhor experiência e conteúdos personalizados, de acordo com a nossa Política de Privacidade. Ao continuar navegando, você concorda com estas condições.


Li e aceito as políticas de privacidade.